Первый в России информационный ресурс о заболеваниях системы крови, созданный при поддержке Фонда борьбы с лейкемией

20 ноября 2025

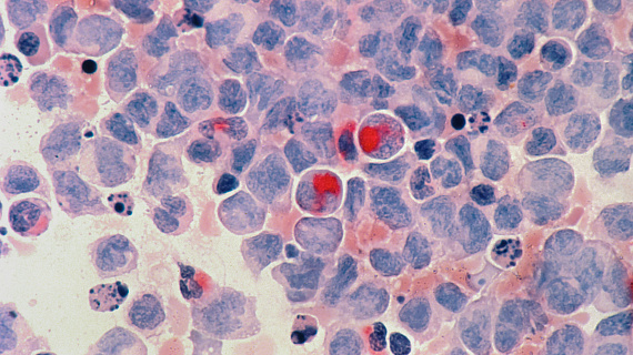
Острый промиелоцитарный лейкоз

Острый промиелоцитарный лейкоз (ОПЛ) — особая разновидность острого миелоидного лейкоза (ОМЛ). В рамках известной франко-американо-британской классификации (FAB) этот вариант называется вариантом М3 (ОМЛ М3). Острый промиелоцитарный лейкоз имеет уникальные особенности, отличающие его от остальных вариантов острого миелоидного лейкоза.

ОПЛ — редкое заболевание, к нему относятся около 10% случаев ОМЛ. Он может встречаться практически в любом возрасте, от детского до пожилого, при этом средний возраст на момент постановки диагноза — около 40 лет.

При остром промиелоцитарном лейкозе опухолевые клетки представлены промиелоцитами — это незрелые гранулоциты, однако более зрелые, чем миелобласты (последовательность созревания выглядит так: миелобласты — промиелоциты — миелоциты — метамиелоциты — палочкоядерные гранулоциты — сегментоядерные гранулоциты. Как и при других острых лейкозах, аномальные клетки накапливаются в костном мозге. Это приводит к подавлению нормального кроветворения и снижению количеств здоровых клеток крови.

Для ОПЛ характерна специфическая молекулярная особенность: транслокация (обмен участками) между хромосомами 15 и 17. В результате из фрагментов двух разных хромосом возникает химерный ген PML/RARA, и его белковый продукт отличается от нормального белка, нужного для созревания промиелоцитов. Это и есть причина накопления незрелых клеток и развития болезни.

Острый промиелоцитарный лейкоз стремительно развивается. Особенную опасность представляют кровотечения и кровоизлияния, когда счет может идти на дни. Когда-то этот вариант лейкоза считался заболеванием с очень плохим прогнозом. Однако в последние десятилетия ОПЛ излечивается гораздо чаще, чем остальные варианты острого миелоидного лейкоза: более чем в 80 % случаев достигается выздоровление. Прорыв в лечении ОПЛ был связан с открытием воздействия вещества ATRA (All Trans-retinoic Acid, полностью транс-ретиноевая кислота — вещество, родственное витамину А) на развитие болезни. В отличие от обычных противоопухолевых препаратов, ATRA не уничтожает опухолевые клетки напрямую, а стимулирует созревание и последующую запрограммированную гибель опухолевых промиелоцитов. Сочетание ATRA («Весаноид», «Третиноин») с препаратами химиотерапии обычно позволяет добиться устойчивой ремиссии.

Позднее было открыто еще один препарат, также специфичный именно для острого промиелоцитарного лейкоза: триоксид мышьяка («Арсенам», «Тризенокс»). Его добавление к терапии повышает ее эффективность и безопасность. Также возможно применение препарата гемтузумаб озогамицин («Милотарг»).

Созревание большого количества промиелоцитов в ходе терапии может вызвать опасный побочный эффект, который носит название дифференцировочного синдрома. Возникают одышка, лихорадка, отеки, возможны кожная сыпь и снижение артериального давления. Для лечения этого осложнения используются стероидные гормоны, такие как дексаметазон.

Терапия при ОПЛ состоит из трех этапов: индукция ремиссии, консолидация и затем длительная низкоинтенсивная поддерживающая терапия в амбулаторном режиме. Как правило, это лечение хорошо помогает пациентам, но бывает, что его эффективность все же недостаточна: сохраняется минимальная остаточная болезнь или происходит рецидив. В этой ситуации может применяться аутологичная или аллогенная трансплантация костного мозга. Однако рецидивы при ОПЛ относительно редки. В целом, если удается благополучно пройти самый опасный период острых проявлений заболевания, подавляющее большинство пациентов может рассчитывать на успешное лечение.